藤沢デンタルオフィス ロゴマーク
藤沢デンタルオフィスの電話予約 ご予約

診療案内

一般歯科

最小限の治療で歯の寿命を最大限に

虫歯の治療は歯科診療の原点です。どのような信念をもって虫歯治療を行うかが、その歯科医師のすべてではないかと考えています。当院での虫歯治療の信念は 「最小限の治療(MI: Minimal Intervention)」です。一度削ってしまった歯、一度神経を取ってしまった歯、一度抜いてしまった歯は現在の人類の医療技術では二度と元に戻すことはできません (歯質、歯髄、歯胚再生の研究動向については常に最新の情報を取り入れておりますので、お気軽に質問してください)。 出来るだけ歯を削らず、出来るだけ神経を取らず、生まれもった歯を出来るだけ残して、歯の寿命を長くすることを信念としています。虫歯の進行程度についての診断は以下の基準に従います。

虫歯が進行する4つの段階(C1〜C4)の解説図

01

削らない治療(Co ~ C3)

当院では、できる限り歯を削らない治療を行っております。 通常の削らない治療は、基本的には麻酔をせずに一切削らないで行いますが、ケースによっては薬剤を患部に留めておくための形状を作るため、 麻酔をして最小限の歯を削る場合もあります。また、一部健康保険がきかない治療もあります。
「歯を削らない治療」、「神経を取らない治療」は、「痛みを取る治療」と相反する場合が多いです。 歯の痛みを取るためには、虫歯をしっかりと削り取り(場合によっては神経も取り)、病巣を無菌状態にして炎症を止める必要があります。歯を削らない・神経を取らない治療の根本的な考えは、 お薬や専門機器を用いて虫歯菌を殺菌し、患者様自身の免疫を期待して虫歯を治すことにあります。 つまり、短時間、一回の治療で痛みを取る治療では無いため、場合によっては数週間から数か月間、痛みが続くこともあり、さらに、治療経過によってはやむなく歯を削る治療に移行することがある旨はご理解ください。

02

神経を取らない治療(C2 ~ C3)

当院では「MTAセメント」 「ドックベストセメント」 の治療法を用いて、できる限り神経を取らない治療を行っております。 一部、健康保険がきかない治療もあります。

03

歯を抜かない治療(C4)

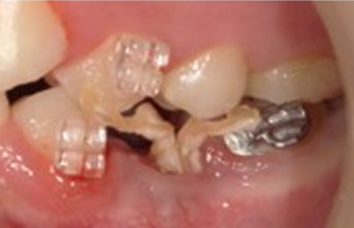
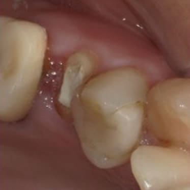
不幸にも、虫歯が進行して骨に埋まっている部分の歯(歯根)まで細菌感染が起こってしまった場合(C4)、通常では抜歯が適応治療になります。 しかし、歯根まで虫歯が進行してしまっている場合の多くは痛みが無いのも特徴です。 特に痛みも無いのになんで歯を抜かなければならないかとお思いの患者様も多くいらっしゃいます。 生物学的・医学的には抜歯が適応であったとしても、患者様のご希望と、精密検査の結果から、当院では歯を抜かずに温存する治療も行っております。 もう歯がほとんど残っていないから歯を抜かなければならないと諦めていらっしゃる患者様も、ぜひ一度当院にてご相談、検査をさせて下さい。

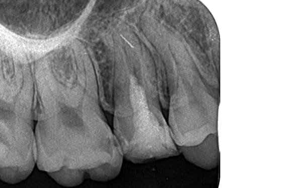
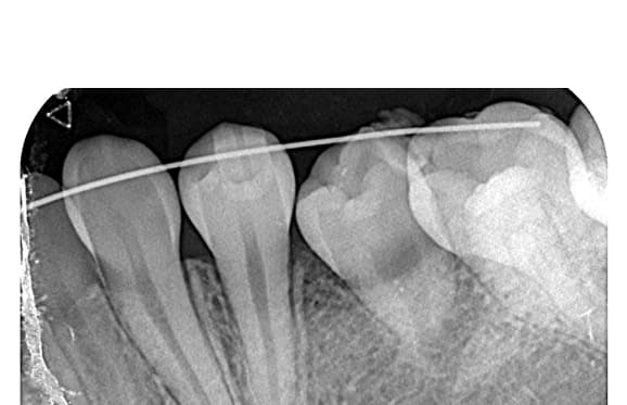
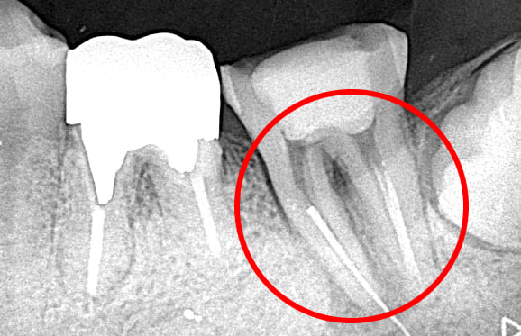
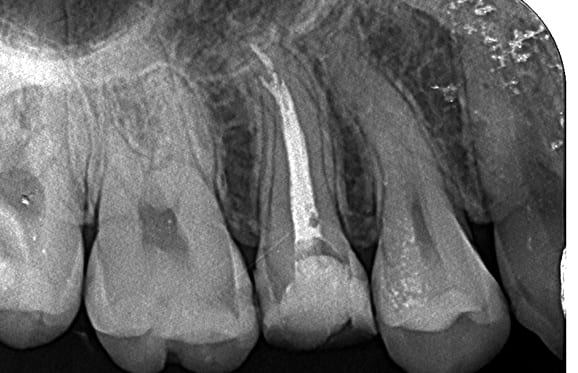
根管内の破損器具除去

+

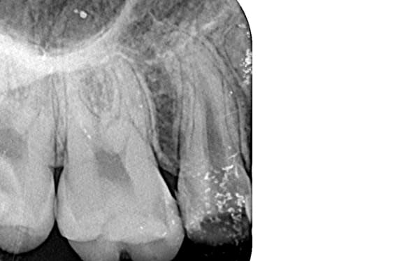
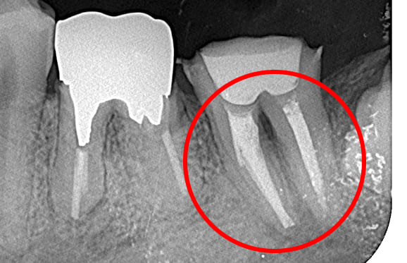
● 症例1

藤沢デンタルオフィスの破折ファイル除去
藤沢デンタルオフィスの破折ファイル除去
藤沢デンタルオフィスの破折ファイル除去

01 左下7の近心根にエンジンファイルの破折
02 ファイル除去時
※根尖周囲の透過像はまだ残存
03 最終の根充剤を充填
※根尖透過像が小さく治癒方向へ向かっている

● 症例2

藤沢デンタルオフィスの破折ファイル除去
藤沢デンタルオフィスの破折ファイル除去
藤沢デンタルオフィスの破折ファイル除去

01 右上の頬側根に手用ファイルの破折
02 ファイル除去時
※若干の打診痛あり
03 最終の根充剤を充填

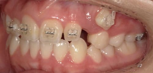
虫歯や破折で抜歯後の部分矯正

+

● C4を超え歯根までの虫歯を抜歯、スペースを利用して歯並び全体を整えた症例

藤沢デンタルオフィスの虫歯や破折で抜歯後の部分矯正
藤沢デンタルオフィスの虫歯や破折で抜歯後の部分矯正
藤沢デンタルオフィスの虫歯や破折で抜歯後の部分矯正
藤沢デンタルオフィスの虫歯や破折で抜歯後の部分矯正

● 歯根が折れ保存不可の歯を抜歯して、そのスペースに八重歯を並べた症例

藤沢デンタルオフィスの虫歯や破折で抜歯後の部分矯正
藤沢デンタルオフィスの虫歯や破折で抜歯後の部分矯正
藤沢デンタルオフィスの虫歯や破折で抜歯後の部分矯正
藤沢デンタルオフィスの虫歯や破折で抜歯後の部分矯正

● C4を超え歯根までの虫歯を抜歯、親知らずを利用して歯並び全体を整えた症例

藤沢デンタルオフィスの虫歯や破折で抜歯後の部分矯正
藤沢デンタルオフィスの虫歯や破折で抜歯後の部分矯正
藤沢デンタルオフィスの虫歯や破折で抜歯後の部分矯正
藤沢デンタルオフィスの虫歯や破折で抜歯後の部分矯正
藤沢デンタルオフィスの虫歯や破折で抜歯後の部分矯正

矯正歯科

矯正治療で全身の健康と笑顔を

矯正治療は子供のうちに行うイメージがありましたが、近年では成人した方も行うケースが増えてきました。 歯並びや咬み合わせがよくなることにより、笑顔に自信がもてるようになるのはもちろんのこと、 消化器官の活動や脳への刺激が向上し、全身の健康を促進します。また、発音障害を解決、正常な顎の発達や健康的な顔の形成も手助けします。 心も体もより健康な生活が送れるように、患者さまひとりひとりに合う矯正治療をご提案させていただきます。 もともと持って生まれた歯並びや骨格、装置の種類によってみなさんそれぞれにゴール地点が違います。 患者様とよく話し合い、ゴール地点を決めるようにしています。 通院の間隔は1 ~ 2か月に1度程度です。 矯正治療中は歯磨きが困難な状態になる場合があるため、必ず歯磨き練習のお時間をお取りしています。 虫歯のないキレイな歯並びにしていきましょう。

初回相談

無料(保険診療にて歯周病検査をする場合は別途必要です)

精密検査料

20,000円 : パノラマ・CT撮影 / 口腔内写真 / 3Dカメラ / 歯型模型 / セファロ

小児矯正

+

小児の矯正治療は顎の成長を利用した咬合誘導を行います。 大まかにスペースの調整が済んだら、マウスピースか前歯と奥歯に部分的なワイヤーを付ける矯正で細かい並びを整えていきます。

※全て税別価格になります。

成人矯正

+

大人の方の矯正治療では、重度の場合、歯と歯の間を歯科専門の紙やすり装置を使い0.02mmずつスペースを確保するか、抜歯をしてスペースを確保してからボタンとワイヤーを用いて歯並びを整えます。

※全て税別価格になります。

保定装置・便宜抜歯

+

保定装置は、マウスピース型、歯の裏側に付ける細いワイヤー型などがあります。 矯正治療において、スペース不足で歯を並べられない場合、便宜的に抜歯する場合があります。抜歯すべき歯が膿んでいたり、虫歯がある場合を除き、自費での抜歯になります。

※全て税別価格になります。

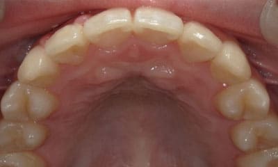
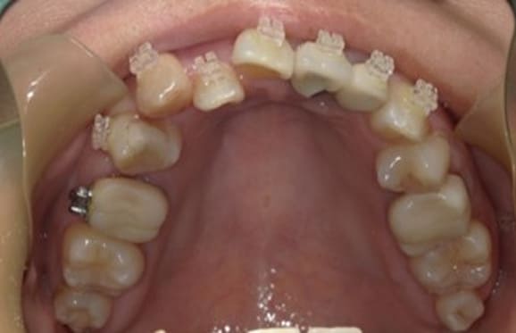
症例

ワイヤー矯正

+

クリアブラケットを選択された患者様はホワイトワイヤーと透明ゴムを使用することで、見た目が目立ちにくくなります。また、各色カラーゴムもご用意しており、追加料金はかからずに選んでいただけます。

藤沢デンタルオフィスのワイヤー矯正 藤沢デンタルオフィスのワイヤー矯正
藤沢デンタルオフィスのワイヤー矯正 藤沢デンタルオフィスのワイヤー矯正
藤沢デンタルオフィスのワイヤー矯正 藤沢デンタルオフィスのワイヤー矯正

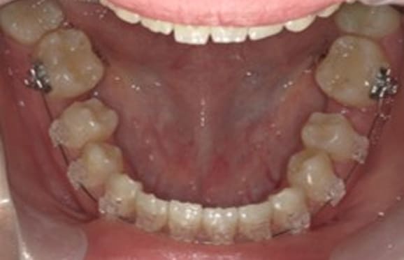
マウスピース矯正

+

バレたくない方の為のマウスピース型矯正
当院では、マウスピース型矯正(インビザライン®︎、クリアアライナー)を行っています。 マウスピース型矯正とは、歯並びの矯正を目的とした透明なマウスピースを使った治療方法です。 従来の矯正装置と比べると、見た目が自然で目立たず、歯ブラシや歯間ブラシでのケアもしやすいという利点があります。 また、マウスピースを交換することで徐々に歯を移動させていくため、痛みや違和感が少ないというメリットがあります。 インビザラインは中 ~ 重度の症例で、クリアアライナーは軽度の症例に適しています。

藤沢デンタルオフィスのマウスピース矯正 藤沢デンタルオフィスのマウスピース矯正
藤沢デンタルオフィスのマウスピース矯正 藤沢デンタルオフィスのマウスピース矯正

インビザライン

+

藤沢デンタルオフィスのマウスピース矯正 藤沢デンタルオフィスのマウスピース矯正
藤沢デンタルオフィスのマウスピース矯正 藤沢デンタルオフィスのマウスピース矯正

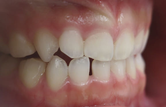
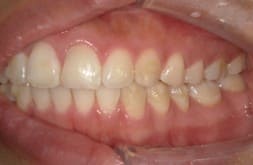
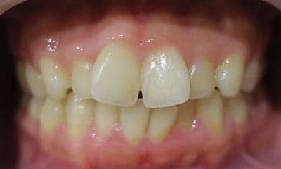
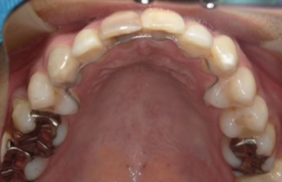
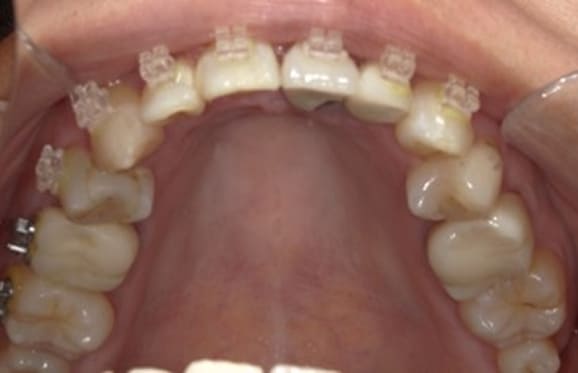
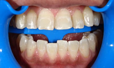
部分矯正

+

ピンポイントで治す為の部分矯正
矯正治療において、一部分だけ治したいという方もいらっしゃるかと思います。 当院ではそういった方の為に部分矯正にも対応しております。 部分矯正とは、歯並びの一部分を矯正する治療方法です。歯並びの不良がある箇所だけを対象にし、 歯の根本から移動させる装置やワイヤーを使用します。このため、全体的な治療期間や費用が抑えられ、 矯正効果も比較的早く見られるという特徴があります。ただし、部分的に歯を動かすため、 周囲の歯や咬合などに影響を与えることがありますので、慎重な診断が必要になります。

藤沢デンタルオフィスの部分矯正
藤沢デンタルオフィスの部分矯正
藤沢デンタルオフィスの部分矯正

虫歯や破折で抜歯後の部分矯正

+

● C4を超え歯根までの虫歯を抜歯、スペースを利用して歯並び全体を整えた症例

藤沢デンタルオフィスの虫歯や破折で抜歯後の部分矯正
藤沢デンタルオフィスの虫歯や破折で抜歯後の部分矯正
藤沢デンタルオフィスの虫歯や破折で抜歯後の部分矯正
藤沢デンタルオフィスの虫歯や破折で抜歯後の部分矯正

● 歯根が折れ保存不可の歯を抜歯して、そのスペースに八重歯を並べた症例

藤沢デンタルオフィスの虫歯や破折で抜歯後の部分矯正
藤沢デンタルオフィスの虫歯や破折で抜歯後の部分矯正
藤沢デンタルオフィスの虫歯や破折で抜歯後の部分矯正
藤沢デンタルオフィスの虫歯や破折で抜歯後の部分矯正

● C4を超え歯根までの虫歯を抜歯、親知らずを利用して歯並び全体を整えた症例

藤沢デンタルオフィスの虫歯や破折で抜歯後の部分矯正
藤沢デンタルオフィスの虫歯や破折で抜歯後の部分矯正
藤沢デンタルオフィスの虫歯や破折で抜歯後の部分矯正
藤沢デンタルオフィスの虫歯や破折で抜歯後の部分矯正
藤沢デンタルオフィスの虫歯や破折で抜歯後の部分矯正

当院での矯正治療の流れ

01 無料相談
02 精密検査(20,000円 ~ )
03 検査結果説明・治療計画・相談
04 治療開始

まずは無料相談にお越し下さい。

※全て税別価格になります。
※保険診療を同時に行っている場合、初回相談(無料)時にパノラマレントゲン撮影を行う事があります。
※日本矯正歯科学会認定医によるセファロ分析、およびシミュレーション・診断が必要な場合に、診断料(10,000円)が発生します。
※小児矯正において、0期矯正から1期矯正、および、1期矯正から2期矯正に移行した場合、前期矯正料金を総額から差し引きます。
※上記金額は、患者様の状態により変更される場合があります。

小児歯科

15歳までに健康な歯と美しい歯並び

当院では全てのお子さまが、将来、どこで活躍しても決して恥ずかしくない、健康的で美しい口元になるため、継続的な「虫歯予防」や「歯ならび管理」をできるだけ早い時期から始め、すべての永久歯が生えそろい、咬み合わせのほぼ完成する中学3年生(15歳)頃には、お子さまが虫歯のない健康な歯と美しい歯並び、正しい咬み合わせを獲得し、それを維持するための適切なお口の健康管理に関する知識と習慣を身につけていることを目標としています。

予防

+

お子様に対して歯科医院で行う治療で最も重要なのが予防治療です。 お子様に対しての予防歯科治療としては、虫歯予防と咬み合わせ予防があります。

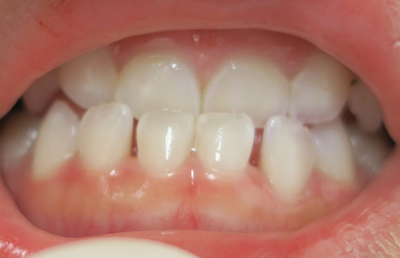
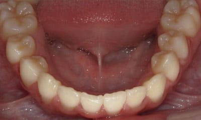
● 咬み合わせ予防

藤沢デンタルオフィスの咬み合わせ予防 藤沢デンタルオフィスの咬み合わせ予防 藤沢デンタルオフィスの咬み合わせ予防
藤沢デンタルオフィスの咬み合わせ予防 藤沢デンタルオフィスの咬み合わせ予防 藤沢デンタルオフィスの咬み合わせ予防

予防矯正装置(i3)を約3か月間使用するだけで反対咬合が治りました。予防矯正装置は、装置をしっかりと使えれば治りますが、年齢的になかなか使いこなすことが難しい装置でもあります。

矯正

+

小児の矯正治療は顎の成長を利用した咬合誘導を行います。 大まかにスペースの調整が済んだら、マウスピースか前歯と奥歯に部分的なワイヤーを付ける 矯正で細かい並びを整えていきます。

初回相談

無料(保険診療にて歯周病検査をする場合は別途必要です)

精密検査料

20,000円 : パノラマ・CT撮影 / 口腔内写真 / 3Dカメラ / 歯型模型 / セファロ

虫歯

+

乳歯の虫歯治療の最大の目的は、将来の永久歯を健康に保つことです。乳歯は1歳頃から生え始め、 2 ~ 3歳で全て揃います。その後、6歳頃に第一大臼歯(最初の永久歯)が生え、前歯も同時期に永久歯に生え変わります。 12 ~ 14歳頃に全ての永久歯が揃います。乳歯は約10年間使用しますが、永久歯は平均寿命を考えると60年以上使用することになります。そのため、乳歯の虫歯治療では、乳歯の下にある永久歯の健康を最優先に考える必要があります。

ケガ(外傷)

+

小児期に歯医者に行く原因で虫歯の次に多いのが、ケガによる歯の損傷です。 お子様は外で元気に遊ぶ時間が長いのはもちろん、顔をぶつける怪我を多くします。特に、 全身のバランスから、目や鼻をぶつけるよりもお口をぶつける怪我が多いと言われています。 日本外傷歯学会のガイドラインに沿った適切な治療をすることにより、折れてしまった歯や抜けてしまった歯を残すことができると同時に、永久歯への影響を最小限に留めることが出来ます。

先天異常

+

先天異常とは、生まれつきに一般的ではない状態で成長、発育した結果、 日常生活において不便を感じる状態を言います。当医院では、上記にあげられる状態を改善する治療があります。

● 先天性の萌出方向異常を部分矯正で治療

藤沢デンタルオフィスの虫歯や破折で先天性の萌出方向異常を部分矯正で治療
藤沢デンタルオフィスの虫歯や破折で先天性の萌出方向異常を部分矯正で治療
藤沢デンタルオフィスの虫歯や破折で先天性の萌出方向異常を部分矯正で治療

01

02

03

藤沢デンタルオフィスの虫歯や破折で先天性の萌出方向異常を部分矯正で治療
藤沢デンタルオフィスの虫歯や破折で先天性の萌出方向異常を部分矯正で治療
藤沢デンタルオフィスの虫歯や破折で先天性の萌出方向異常を部分矯正で治療

04

05

06

藤沢デンタルオフィスのホワイトニング術前
藤沢デンタルオフィスのホワイトニング術後

口腔外科

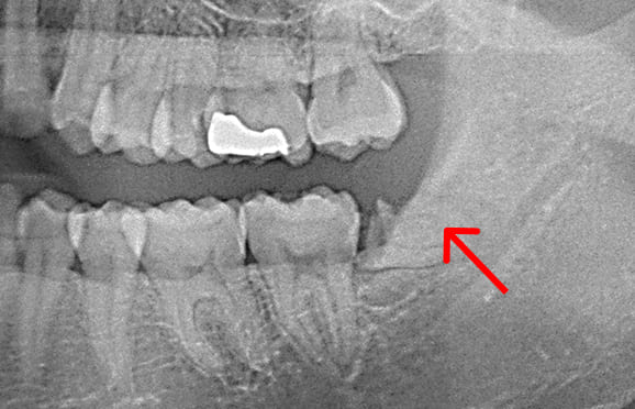
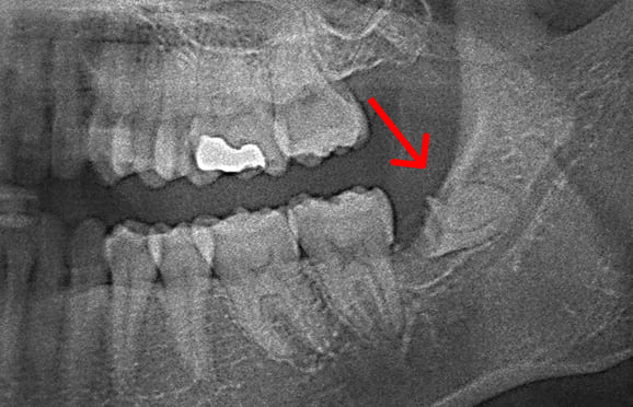
親知らず抜歯

+

当院の院長は勤務医時代、親知らず専門外来にて診療にあたっていたので、顎の骨の中に埋まっている親知らずも抜歯いたします。難症例では、神経損傷リスクを抑えるため、2回法にて親知らずを抜く場合もあります。

● 下の顎の親知らず抜歯 1回法

藤沢デンタルオフィスの親知らず抜歯
藤沢デンタルオフィスの親知らず抜歯
藤沢デンタルオフィスの親知らず抜歯

● 下の顎の親知らず抜歯 2回法

藤沢デンタルオフィスの親知らず抜歯
藤沢デンタルオフィスの親知らず抜歯
藤沢デンタルオフィスの親知らず抜歯

01 神経に近い位置に親知らずの根が存在
02 親知らずの頭の部分だけ抜歯
03 親知らずの根の部分が神経から離れる

下の顎の親知らずの抜歯では、神経の損傷リスクを考えて2回に分けて抜歯する場合があります。 また、麻酔が効きにくい場合にも、同様に2回に分けて抜歯します。

外傷

+

当院は夜間診療を行っているため、事故やケガ等で歯が抜けてしまったり、折れてしまったなど、救急からの依頼を受け外傷処置を行うこともあります。喉に魚の骨が刺さってしまった急患も拝見いたします。

● 完全脱臼

藤沢デンタルオフィスの完全脱臼術前

受傷時

藤沢デンタルオフィスの完全脱臼術後

再植後

永久歯の完全脱臼(歯が抜け落ちている状態)では、受傷後できるだけ早く再植することが重要です。乳歯の場合は再植は行いません。

骨隆起除去

+

くいしばりや歯ぎしりなどで出来てしまった骨隆起の除去を行います。骨隆起自体は自分の体の骨と同じなので害はないのですが、骨のでっぱりに食べ物がはさまったり、舌があたってしゃべりにくいなどのお困りごとがあった場合に骨の削合、除去を行います。

藤沢デンタルオフィスの上顎頬側の骨隆起

上顎頬側の骨隆起

藤沢デンタルオフィスの骨隆起除去後

骨隆起除去後

藤沢デンタルオフィスの下顎舌側の骨隆起

下顎舌側の骨隆起

藤沢デンタルオフィスの骨隆起除去後

骨隆起除去後

上唇小帯・舌小帯・頬小帯切除

+

上唇の裏側や舌の裏側、頬の内側にある小帯というヒダ状の組織が過剰発達しているために、前歯がすきっ歯になったり、舌の動きが制限され滑舌が悪いなどの状態を改善する手術です。この手術により、前歯の歯並びや発音、食事のしにくさなどの改善が期待されます。当院では高周波電気メスを使用し、局所麻酔が可能な年齢(小学校低学年くらい)から成人まで手術可能です。

顎関節脱臼

+

いわゆる「顎が外れた」状態です。急患対応にて整復いたします。

病態病理診断

+

院長は大学卒業後、病理学講座にて博士号を取得し、その後も5年間、助教として勤務しておりました。また、現在も週に1日、非常勤講師として分子病理学の研究を継続しています。

インプラント

藤沢デンタルオフィスのこだわり

確かな科学に基づいた、安全で長期安定するインプラント治療を。 私たち藤沢デンタルオフィスでは、「ただ噛めるようになる」だけではなく、“長期的に安心して使い続けられるインプラント”を最も大切にしています。 歯科臨床に携わる以前に、発生学・腫瘍学・分子生物学の基礎研究に約10年従事し、組織修復・骨再生のメカニズムを科学的に探究してきました。 その経験は、現在のインプラント治療において、骨の質・噛む力の伝わり方・治癒過程の理解として深く生かされています。

インプラントの解説図

特徴01

適切な診断にこだわる理由

CT撮影による立体的な骨評価
咬み合わせ(咬合力・癖・歯ぎしり)
顎骨の質・量
全身状態や服薬の確認

インプラント治療の成功は、手術の技術だけでなく術前診断が“8割”を占めます。これらを総合的に判断し、長期に安定する治療計画をご提案します。矯正治療の知見を生かし、歯並びや咬み合わせを含めた「全体のバランス」から診断します。

特徴02

安全性の高いインプラント

高い生体親和性
骨との結合がはやい
長期データ・安心の世界的シェア

当院では世界的に実績のあるストローマン社製に加え、私達アジア人の為に考えられ作られたアジアシェアNo.1のオステム社製インプラントを、患者様の状態を診断した上でご提案いたします。

特徴03

痛みと不安を抑えた手術

表面麻酔 + 局所麻酔による痛みの少ない処置
必要に応じて笑気麻酔のご案内
術中の声掛けと丁寧な進行

「怖かったけれど思ったより楽だった」というお声を多くいただいています。 10種類以上の表面麻酔を試した中で最も効果の高い薬剤を使用し、歯科用麻酔針の中で最も細い35Gを使う事で、個人差はありますが、ほぼ針の刺される感覚が無く局所麻酔をかける事が可能です。また、必要に応じて笑気麻酔を併用いたします。

特徴04

骨が少ない方でも諦めないために

長年の欠損で骨量が減ってしまっても、骨再生(GBR)をはじめとした補助手術によりインプラントが可能になるケースがあります。院長の基礎研究で培った「骨が再生する仕組み」への深い理解をもとに、安全性を最優先した上で最適な方法をご提案します。

特徴05

精密さを支えるデジタル技術

サージカルガイドによる安全で正確な装着
デジタル咬合分析
術後の長期フォローシステム

治療後の定期メンテナンスまで含めて、“20年先までを見据えたインプラント治療”を行っています。

院長からのメッセージ

インプラントは「歯を失ったから入れる道具」ではなく、人生の質(QOL)を大きく左右する“身体の一部”です。 だからこそ、「科学的根拠に基づき丁寧で誤解のない説明を行い長期的に安心して使える設計をする」ことを何より大切にしています。 治療の選択肢は患者さんによって異なります。「本当にインプラントが必要なのか」を含め、正確にお話しさせていただきます。

「痛いのが怖い」「本当に自分に必要なのか知りたい」そんな方にこそ、一度ご相談いただきたいと思っています。 最も納得できる治療を、ご一緒に考えてまいります。

料金表

+

初回相談

無料(保険診療にて歯周病検査をする場合は別途必要です)

精密検査料

20,000円 : パノラマ・CT撮影 / 口腔内写真 / 3Dカメラ / 歯型模型

1次手術

インプラント本体の埋入

上顎の場合4 ~ 6か月、下顎の場合2 ~ 4か月間、骨が治るのを待ちます。

2次手術

土台の装着 ~ 仮歯装着

最終の被せ物

インプラント本体の装着

総額

ブリッジのダミー部

※全て税別価格になります。
※骨造成はソケットリフト + 人工骨の補填で別途50,000円かかります。3Dガイドシステムが必要な場合は別途30,000円かかります。詳細は精密検査後の御見積書でご確認下さい。

研究へのご協力について

+

当院の院長は現在、大学と連携し、インプラント治癒メカニズムの研究を行っています。

痛みや腫れが強く出る方
ほとんど痛みが出ない方
長期的に安定する方
予後が思わしくない場合

最新の研究では、同じ種類のインプラントを、同じ機器・同じ方法で装着しても、“個人差”が生じることが知られています。しかし、その分子レベルの根拠はまだ十分に解明されていません。

この謎を明らかにするため、インプラント手術の際に通常は破棄される極めて小さな骨片を、患者様のご希望とご同意をいただいた場合に限り、研究に利用させていただくことがあります。

追加の痛み・侵襲はありません
個人を特定できる情報は使用しません
ご協力は完全に任意です
ご協力いただかなくても治療内容は変わりません

この研究は、より痛みが少なく、身体に調和し、長期安定するインプラント治療の実現に役立てられると考えています。

「臨床検体同意書 藤沢デンタルオフィス」をダウンロード

症例

+

● 上の顎の奥歯にインプラントを入れるのに骨が足りないため、ソケットリフトと人工骨補填して骨造成を行った症例1

術前

藤沢デンタルオフィスのインプラント術前 藤沢デンタルオフィスのインプラント術前

3Dシミュレーション

術後

藤沢デンタルオフィスのインプラント術後 藤沢デンタルオフィスのインプラント術後

シミュレーション通りの上顎洞底挙上と人工骨補填(3Dガイドシステム使用)

● 上の顎の奥歯にインプラントを入れるのに骨が足りないため、ソケットリフトと人工骨補填して骨造成を行った症例2

術前

藤沢デンタルオフィスのインプラント術前 藤沢デンタルオフィスのインプラント術前

3Dシミュレーション

術後

藤沢デンタルオフィスのインプラント術後 藤沢デンタルオフィスのインプラント術後

シミュレーション通りの上顎洞底挙上と人工骨補填(3Dガイドシステム使用)

歯周病・歯周内科

歯周病には咬み合わせ改善が鍵

歯周病は微生物(病原菌)の感染症です。微生物とは、細菌、真菌、マイコプラズマ、ウイルスを含みます。 現在、歯周病学において、ヒトの歯周病に関連しているのは細菌と真菌と言われていますが、全身の疾患を考えたとき、感染症にウイルスの存在を否定する根拠はありません。 当院では、位相差顕微鏡とリアルタイムPCRに加え、cDNAマイクロアレイや次世代シーケンサーによるゲノム解析の開発を追い、お口の中に存在する微生物全体を捉える診断を目指しています。 また、歯周病は感染症であると同時に、物理学的な負荷、つまり咬みあわせの異常から悪化することが知られています。 病原微生物の徹底した除去に加え、正常な咬み合わせを構築することにより、歯周病の進行を止め、さらには骨の再生・治癒を目指すことが出来ます。 歯周病は治らない、グラグラになった歯は元には戻らないとお思いの患者様は、ぜひ一度ご相談にいらしてください。

当院での治療の流れ

01 検査・診査診断
02 治療計画立案・相談
03 治療実行・評価

歯周病は感染症であることから、感染から脱却することが治療のスタートになります。 ただし、風邪をひいた時に内科から抗生物質と解熱剤を処方されたとしても、実際に治す (体内から病原菌を完全に排除して炎症反応が治癒する)のは自分自身の免疫力です。 お口の中も基本的には同じで、抗生物質を用いて歯周病菌を除菌したとしても、その後の歯ぐきや骨を治すのは自分自身の免疫、再生能力になります。 免疫、再生能力は、全身状態から影響を受けることから、歯周内科治療を行う際には、生活習慣の改善も必要になります。

義歯(入れ歯)

痛みなく咬める動かない入れ歯設計

入れ歯の最大の問題点は、「痛くて合わないから咬めない」です。咬めない入れ歯を咬めるようにするのが当院の理念です。 入れ歯で咬めない理由は、ほとんどの場合が入れ歯の設計(形)に問題があります。 教科書的に正しい設計であったとしても、個々の患者様のお口にあっている設計かどうかは分かりません。
例えば、奥歯が2本欠損しており、そこに入れ歯を入れる時には、教科書的には左右を繋げて設計します。 理由としては、片側で咬んだ時にもう片方が浮かないようにするためで、残っている歯への負担も軽減することができます。 しかし、左右を繋げることにより、上顎や下顎の舌が触れる部分に樹脂や金属製の板や棒が付きます。 この板や棒が患者様によっては著しく不快でお口の中に入れているだけで吐き気を催すこともあります。 ならば、この板や棒は取り除くべきです。入れ歯の目的は、歯の代わりに食事を美味しくすることにあります。 この目的のために何をするべきかを考え、入れ歯の設計、調整を行います。まずは現在使用されていて、不具合を感じる入れ歯を持参してください。これまでにないご提案をさせていただきます。

咬合・顎関節症

正常咬合・異常咬合・治療法

咬み合わせ異常によるお口の中の病態は、患者様自身のみならず、歯科医師・歯科衛生士にとっても原因を特定、診断、治療することが難しいのが現状です。 理由は、咬み合わせに対する医療、研究が遅れていることから、一般的に発信される情報が少なく、知識の周知がなされていないことに起因します。
「歯が痛くなって歯医者に行って削って埋めて治療が終わったのに、また痛い。 また痛くなったので歯医者に行き削られて今度は歯の神経を取られて一時的には治った。 またしばらくしたら同じ歯が痛くなって歯医者に行き、歯の根に膿が溜まっているからと根の治療をして、、、」
こんな繰り返しの治療が現在の歯科治療では日常的に行われています。 もちろん、虫歯菌や歯周病菌による病態である可能性もありますが、咬み合わせに関してもチェックさせて下さい。

顎関節症は現代病です。人類の進化の過程の中で、ヒトは体幹に比較して頭部の重量がどんどん大きくなっているのは周知のとおりです。 また、頭部においては、下顎骨が顕著に縮小しているのに対し、歯牙の大きさは進化のスピードに追いついておらず、大きいままです。 現代社会において歯並びの異常や顎関節の異常が多くなっているのはこのためです。 また、現状では自覚症状のない方でも、咬み合わせの不調和を持続していることを背景に、簡単なきっかけ(たとえば"あくび"をしたり、転んで顎をぶつけたり、口を大きく開けただけでも)で顎関節症の自覚症状が出始める場合があります。

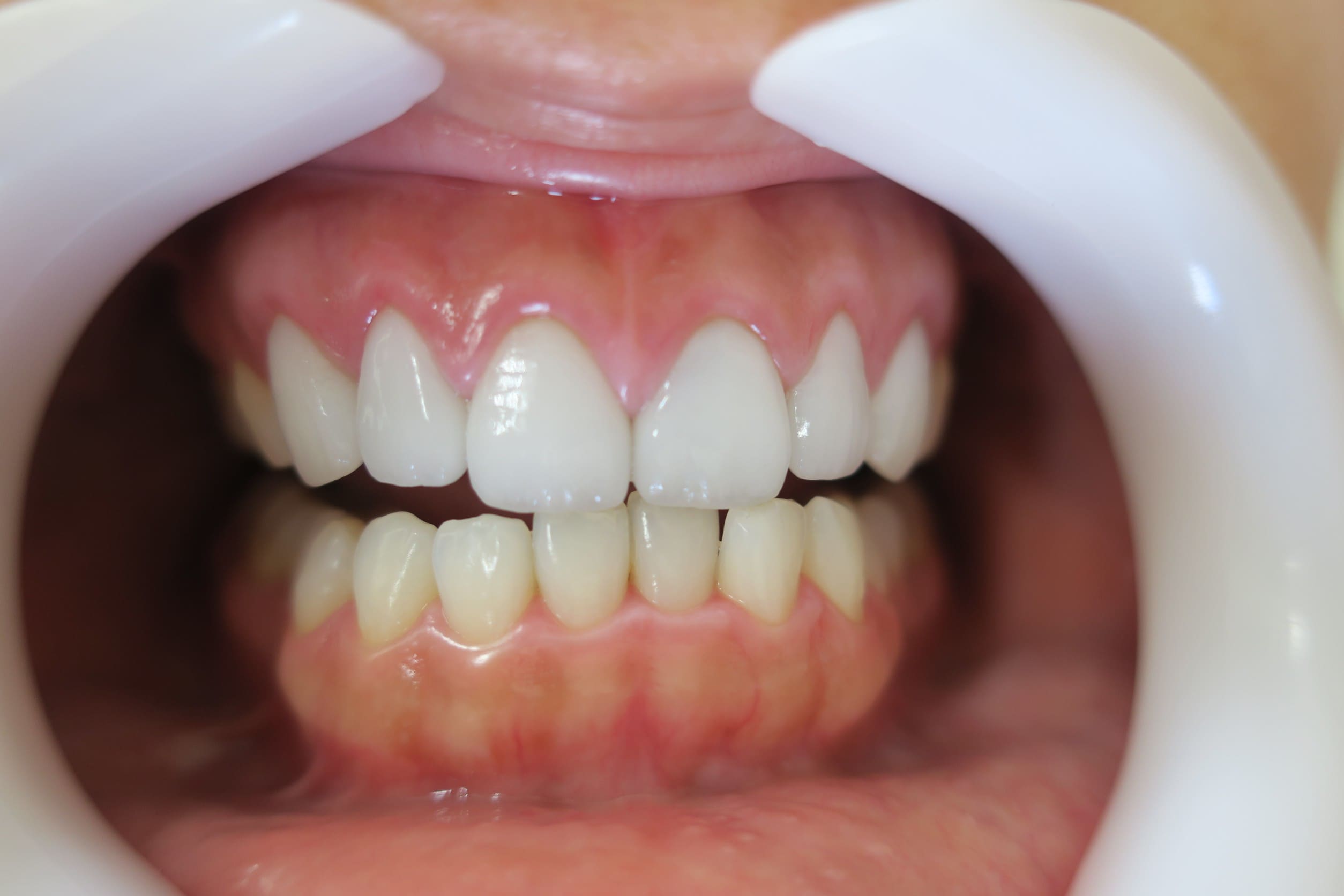
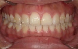
審美歯科

歯科医療の目標とするところは、口腔疾患の予防、治療そして健康保持にあります。 この口腔機能を健康に保つことは、“食べる”という食物の摂食・咀嚼・嚥下を行い、生命の維持と活力源になるとともに、“話す”というコミュニケーションを可能にします。 これらは楽しい人生を送るための重要なポイントです。 しかしながら、たとえ歯科治療によって機能を回復できたとしても、審美的満足感が得られなければ、決して心身ともに健康を取り戻したという実感は得られないと思います。 この口腔付近の機能の回復と審美の改善は、表情は明るく、生活に活力を取り戻すことにつながります。 このように「歯科審美」は皆さんのクオリティー・オブ・ライフに大きく貢献しています。 ※日本審美歯科学会より一部抜粋

かぶせ物(クラウン)

+

当院での審美歯科で使用するかぶせ物は全てジルコニア素材になります。 また、ジルコニアには複数種類があり、見た目よりも強度を優先したものや、患者様個々の歯の色に合わせたフルオーダーでのジルコニアベースの陶材(セラミック)築盛も用意しており、患者様ごとに適した材料をご提案いたします。

※全て税別価格になります。

つめもの(インレー)

+

部分的なつめものも、当院では基本的にはジルコニア素材を使用いたします。 ただし、咬み合わせの関係でジルコニアを使用すべきでないケースでは、破損リスクをご説明、ご理解いただいた上で、オールセラミックを選ぶ場合もあります。

※全て税別価格になります。

歯の表面(ラミネートべニア)

+

すきっ歯や、軽度の歯のガタつき、歯の形や色を最短で治す治療法です。 ただし、割れやすかったり、ケースによっては健康な歯を削らなければならない等、デメリットが複数あります。 ラミネートベニアを行う場合は、CTやレントゲン、咬み合わせ等も含めた精密検査を必ず行い、ご理解いただいた上で治療開始になります。

※全て税別価格になります。

藤沢デンタルオフィスのラミネートべニア
藤沢デンタルオフィスのラミネートべニア
藤沢デンタルオフィスのラミネートべニア

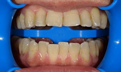
ホワイトニング

歯のホワイトニングとは

歯のホワイトニングは、歯の表面および内部に沈着した着色物質を分解・除去し、歯本来の白さ、もしくはそれ以上の明るさへと改善する治療です。 ホワイトニングで使用される主な薬剤は過酸化水素または過酸化尿素で、これらが歯のエナメル質・象牙質内に浸透し、着色の原因となる有機色素を化学的に分解します。 そのため、歯を削ることなく色調を改善できる点が特徴です。 ホワイトニングは、加齢による黄ばみ、コーヒー・紅茶・赤ワイン・喫煙などによる外因性着色に対して効果が期待できます。一方で、被せ物や詰め物、神経を失った歯の変色には効果が及ばない場合があります。 当院では、歯科医師・歯科衛生士の管理下で行うオフィスホワイトニング、ご自宅で継続的に行うホームホワイトニング、およびウォーキングブリーチを取り扱っております。 患者さまの歯の状態やご希望に応じて治療方法を選択し、安全性と効果の両立を重視したホワイトニング治療を行っております。

オフィスホワイトニング

+

奥歯は白くできないなどのデメリットはあるものの、自宅でケアをするのが難しい方におすすめです。

※全て税別価格になります。

ホームホワイトニング

+

自宅でケアを続けられることから、患者様のお好きな時間に治療ができるのがメリットです。 また、オフィスホワイトニング後のアフターケアにもおすすめです。

※全て税別価格になります。

ウォーキングブリーチ

+

神経の無い歯は、通常のホワイトニングでは白くなることがほとんどありません。 ウォーキングブリーチとは、歯の裏側から穴を開けその中にホワイトニング剤を充填し、仮の蓋をして7 ~ 10日ごとに中の薬を交換していく施術方法です。

※平均して3 ~ 4回でご希望の白さになりますが、個人差があるためより多くの回数がかかる場合もあります。

症例

+

藤沢デンタルオフィスのホワイトニング術前 藤沢デンタルオフィスのホワイトニング術後

術前

藤沢デンタルオフィスのホワイトニング術前 藤沢デンタルオフィスのホワイトニング術後

術後

予防歯科

予防歯科は生涯の口腔と健康を守る

予防歯科の目的は、お口の中の病気を未然に防ぎ、歯の生え始めの赤ちゃんから、 生きているあいだずっと食事を美味しく食べられる状態に保ち、全身の健康増進と生活の質(QOL)を向上させることです。 お口の中の病気として、虫歯、歯周病(歯槽膿漏)は一般的にもよく知られていますが、 咬み合わせ異常も大変重要な口腔疾患になります。年齢、性別、環境など、 それぞれの患者様にあったオーダーメイド医療として捉え、予防メニューを検討・実施していくことが大切になります。

01

虫歯予防

生後乳歯が生え始めてから食事をし続ける限り虫歯の予防に取り組みましょう。 歯科で扱うほとんどの疾病に共通したことになりますが、虫歯予防で一番大切なのは患者様、 もしくは保護者様による日常の口腔セルフケアになります。 一般的には幼稚園や小学校などで歯磨きの仕方を習うと思いますが、 この歯磨きの仕方が最も重要になります。当院にて予防治療を徹底したとしても、 日常の口腔ケアがおろそかになると虫歯を防ぎきることができません。 まずは口腔ケア方法の理解が虫歯予防治療のスタートになります。 その後、定期的にお口の中を検診し、以下の項目を併用して一生涯虫歯ゼロを目指しましょう。

02

歯周病予防

歯周病は、日本の成人の70%以上、40代以降だと80%以上の方が患っている疾患です。 歯を失う理由で一番多いのが「歯周病」(42%)で、次に「虫歯」(32%)、「その他」(13%)、 「破折」(11%)、「矯正」(1%)の順です。 つまり、歯周病の予防は、歯を失うリスクを大幅に減少することが出来ると同時に、 ほとんどの成人患者様にとって必要な治療であると考えられます。 現在、歯周病でお困りの患者様だけでなく、徹底した精密検査により歯周病罹患リスクのある患者様の発症予防に取り組んでいます。

03

咬み合わせ予防

お口の中の疾病で、患者様のみならず、歯科医師・歯科衛生士でも原因の特定、診断、 治療が難しいのが咬み合わせ異常からくる歯の痛みです。 顎の関節の痛みや歯周病による痛みであれば、咬み合わせも同時にチェックして治療を進めるのが 一般的ではありますが、ただの歯の痛みから咬み合わせに関連付けて診断する歯科医療機関は未だ多くないのが現状です。 また、咬み合わせの異常により、虫歯リスクが高まることが理解されつつあります。当院では、 さまざまな理由から起こり得る咬み合わせ異常に対して、精密検査をした上で診断、治療、予防の提案をさせていただきます。

症例

+

● 咬み合わせ予防

藤沢デンタルオフィスの咬み合わせ予防 藤沢デンタルオフィスの咬み合わせ予防 藤沢デンタルオフィスの咬み合わせ予防
藤沢デンタルオフィスの咬み合わせ予防 藤沢デンタルオフィスの咬み合わせ予防 藤沢デンタルオフィスの咬み合わせ予防

予防矯正装置(i3)を約3か月間使用するだけで反対咬合が治りました。予防矯正装置は、装置をしっかりと使えれば治りますが、年齢的になかなか使いこなすことが難しい装置でもあります。